Ortodoncia

La ortodoncia es la especialidad que se enfoca en prevenir, diagnosticar y tratar las irregularidades en la posición de los dientes y los huesos maxilofaciales. El objetivo principal de la ortodoncia es corregir la alineación de los dientes y la mordida para mejorar la salud bucal, la función masticatoria y la estética facial.
Se utilizan una variedad de técnicas y dispositivos para corregir problemas dentales y esqueléticos, como los brackets (metálicos o estétivos), los alineadores transparentes (como Invisalign), los aparatos ortopédicos y los dispositivos de retención.
Algunas de las condiciones que pueden ser tratadas por un ortodoncista incluyen:

1. Maloclusión:
Una mordida desalineada, como sobremordida, mordida abierta, mordida cruzada o mordida profunda.
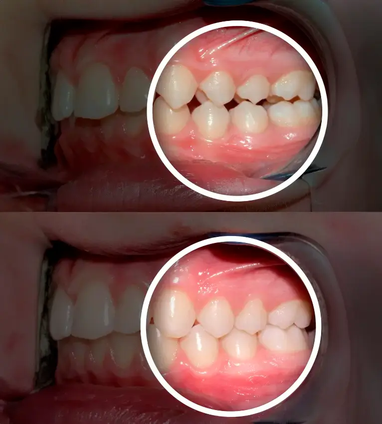
2. Apiñamiento dental:
Cuando los dientes están apretados o superpuestosdebido a la falta de espacio en las arcadas dentales.


3. Diastemas:
Espacios entre los dientes.
4. Protrusión dental:
Cuando los dientes están en una posición hacia adelante.


5. Malposiciones dentarias:
Dientes girados o inclinados.
El tratamiento ortodóncico puede comenzar en la infancia, durante la adolescencia o en la edad adulta, dependiendo de la naturaleza y la gravedad de los problemas dentales y esqueléticos del paciente. Un ortodoncista evaluará cuidadosamente cada caso y desarrollará un plan de tratamiento individualizado para lograr los resultados deseados.